丁苯酞在脑出血治疗方向上再添新成果
发布时间:2021-01-14|
作者:石药集团
来自中南大学湘雅二医院神经内科卢伟教授研究团队的最新成果《miR-7-5p Affects Brain Edema After Intracerebral Hemorrhage and Its Possible Mechanism 》在《Frontiers in Cell and Developmental Biology》杂志发表(IF2020: 5.201)。
本研究旨在探讨miR-7-5p与脑出血后脑水肿的关系及其可能机制,并观察丁苯酞干预后miR-7-5p的变化及其对脑出血后脑水肿的影响。研究结果证明:丁苯酞可通过增加miR-7-5p的水平,调控PI3K/AKT通路活性以及调控AQP4表达减轻脑出血后脑水肿,最终改善神经功能预后,为脑出血的治疗提供了新思路。
具体内容
01
研究背景
脑出血后脑水肿的病理生理学机制尚不明确,参与因素复杂多样,水通道蛋白表达等因素都在脑出血后脑水肿形成中发挥作用。水通道蛋白(AQPs)促进水在组织细胞中运输。在大脑中,AQP4是最丰富的水通道蛋白。其广泛表达在星形胶质等细胞上,在脑损伤早期,AQP4表达升高是造成脑水肿的主要原因,在脑损伤晚期, AQP4表达增高则有利于水的清除。目前不断有研究发现AQP4的表达可能受到PI3K/AKT通路的影响。PI3Ks家族可影响PI3K/AKT的信号通路活性的分子多种多样,近期有研究发现一种MicroRNAs,miR-7-5p能影响PI3K/AKT通路的活性。在肺水肿研究中推测miR-7-5p可通过影响mTORC2/SGK-1的活性来调控钠离子通道表达,最终影响肺水肿形成。
近期越来越多的试验表明丁苯酞可以减轻脑创伤后的脑水肿,并且发现丁苯酞可以激活PI3K/AKT信号通路,但是目前尚还没有研究发现丁苯酞是否能影响miR-7-5p的表达。因此,在脑出血大鼠模型中加入丁苯酞作为实验的干预组,观察miR-7-5p的表达变化,观察脑水肿的变化,同时验证是否丁苯酞能调控PI3K/AKT通路活性以及调控AQP4表达,探索miR-7-5p,AQP4,PI3K/AKT和脑水肿之间可能的关系。这项研究探讨脑出血脑水肿的发病机制,为脑出血后脑水肿提供新的治疗切入点。
02
研究方法
收集2019年6月至2020年1月中南大学湘雅二医院急诊入院的发病24小时内的脑出血初诊患者的临床资料进行分析,研究最终纳入6例患者,分别在患者发病第1天,7天,14天完善患者神经功能缺损评分,收集血常规、C-反应蛋白资料,采用头部CT评估脑血肿体积及最大层面脑水肿面积。通过酶联免疫吸附测定血清中MMP-9、ZO-1、Occludin、IL-6、TNF-α的表达。采用实时荧光定量聚合酶链反应(qRT-PCR)检测患者血清中miR-7-5p的表达。30只成年雄性SD大鼠随机分为假手术组、脑出血1天、3天、7天组和丁苯酞治疗组。大鼠脑内注射Ⅳ型胶原酶诱导脑出血。采用NSS评分评估大鼠神经功能缺损情况。采用干湿重法评估脑水肿情况。采用伊文思蓝染色评估血脑屏障通透性。通过免疫组织化学染色来评估AQP4的表达情况。通过Western blot(WB)检测PI3K、AKT、p-AKT、AQP4、IL-6、TNF-α、ZO-1和Occludin的表达。采用实时荧光定量聚合酶链反应(qRT-PCR)检测miR-7-5p的表达。
03
研究结果
临床研究部分
本研究临床部分纳入了6例自发性ICH患者包括2名女性和4名男性,平均年龄为62.7岁(范围:58-87岁),研究显示:患者脑出血第一天的血清中性粒细胞与淋巴细胞比值水平与脑出血第7天水肿面积存在正相关,脑出血患者血清中MMP-9在脑出血第14天开始降低,而紧密连接蛋白ZO-1、Occludin在脑出血第7天较第1天升高,第14天较第1天仍升高;血清中IL-6在脑出血第7天较第1天下降,第14天时较第1天仍下降;TNF-α表达在各时间点变化均不明显(见图1)。脑出血患者血清中miR-7-5p在脑出血第7天较脑出血第1天明显下降,脑出血第14天逐渐回升(见图2), 其变化趋势与CT上最大层面脑水肿面积变化趋势相反。

图1:脑出血患者血清中MMP-9(A)在脑出血第14天较脑出血第1天及脑出血第7天均下降,ZO-1(B)在脑出血第7天及第14天较脑出血第1天升高,Occludin(B)在脑出血第7天及第14天较脑出血第1天升高,IL-6(C)在脑出血第7天及脑出血第14天较脑出血第1天下降,TNF-α(C)在脑出血三个时间点变化不明显。*P<0.05,**P<0.01,***P<0.001
图2:患者脑出血后第7天miR-7-5p明显低于第1天,第14天时部分回升。*P<0.05,**P<0.01
2
基础研究部分:
丁苯酞可减轻脑出血导致的神经功能缺损和脑水肿
基础研究显示大鼠脑出血后各时间点神经功能缺损较假手术组明显加重(P<0.05),其中在脑出血第3天大鼠神经功能缺损最明显。而加入丁苯酞干预3天后大鼠神经功能缺损较脑出血对照组减轻(P<0.05)。脑出血组脑组织中的含水量较假手术组明显升高(P<0.05),在脑出血后第1天脑组织水肿较明显,第3天时水肿最明显,7天内水肿仍较明显。丁苯酞干预组脑含水量较脑出血对照组下降(P<0.05)(表1)。此外研究还显示,脑出血后血脑屏障通透性增加,丁苯酞干预后血脑屏障通透性降低。
表1 各组大鼠神经功能缺损评分及脑含水量情况


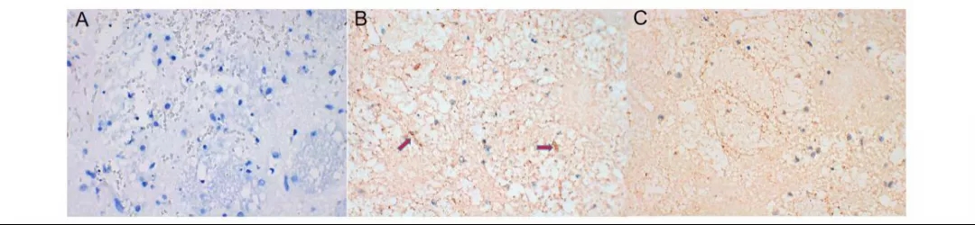
图片图6:在丁苯酞干预后AQP4较脑出血对照组降低(箭头指示的黄色染色部分是AQP4的所在位置,蓝色部分是细胞核)。A.假手术组;B.脑出血3天对照组;C.丁苯酞干预组

图片图7:在NBP干预后,PI3K、AKT表达无明显变化(A,B)。然而,在NBP干预后,p-AKT表达降低(A,B)。在NBP干预后AQP4的表达降低(A,B)。*p<0.05,**p<0.01

丁苯酞干预后脑组织中TNF-α、IL-6降低,ZO-1、Occludin升高
脑出血后脑组织中TNF-α、IL-6升高,ZO-1、Occludin降低,丁苯酞干预后脑组织中TNF-α和IL-6较脑出血对照组降低(P<0.05)。丁苯酞干预后紧密连接蛋白ZO-1,Occludin较脑出血对照组升高(P<0.05)(图8)。

图片图8:丁苯酞干预后,IL-6和TNF-α较脑出血对照组下降(A,B),而紧密连接蛋白ZO-1和Occludin(A,B)较脑出血对照组升高。*P<0.05,**P<0.01
丁苯酞干预后脑组织中miR-7-5p升高
实验检测到在大鼠脑出血后第1天、3天、7天脑组织中miR-7-5p均较假手术组显著下降(P<0.05),其中脑出血后第3天miR-7-5p下降最明显(图9),加入丁苯酞干预后miR-7-5p较脑出血对照组明显升高(P<0.05)(图9)。
图9:脑出血后miR-7-5p(A)下降,脑出血后第3天miR-7-5p最低,丁苯酞干预后miR-7-5p(B)较脑出血对照组升高。*P<0.05,**P<0.01,***P<0.001
综上所述
丁苯酞可以抑制脑出血后脑组织中miR-7-5p的下降,增加脑组织中miR-7-5p,miR-7-5p升高后对PI3K/AKT通路的抑制增强,引起脑组织AQP4降低。丁苯酞可以通过miR-7-5p/ PI3K/AKT/AQP4途径减轻脑出血后脑水肿。再者,丁苯酞干预后脑含水量、伊文思蓝染色结果、神经功能缺损评分结果变化也说明丁苯酞可以减轻脑出血后脑水肿改善神经功能预后。这为目前丁苯酞正在开展的脑出血临床研究提供了理论依据。
本研究旨在探讨miR-7-5p与脑出血后脑水肿的关系及其可能机制,并观察丁苯酞干预后miR-7-5p的变化及其对脑出血后脑水肿的影响。研究结果证明:丁苯酞可通过增加miR-7-5p的水平,调控PI3K/AKT通路活性以及调控AQP4表达减轻脑出血后脑水肿,最终改善神经功能预后,为脑出血的治疗提供了新思路。
具体内容
01
研究背景
脑出血后脑水肿的病理生理学机制尚不明确,参与因素复杂多样,水通道蛋白表达等因素都在脑出血后脑水肿形成中发挥作用。水通道蛋白(AQPs)促进水在组织细胞中运输。在大脑中,AQP4是最丰富的水通道蛋白。其广泛表达在星形胶质等细胞上,在脑损伤早期,AQP4表达升高是造成脑水肿的主要原因,在脑损伤晚期, AQP4表达增高则有利于水的清除。目前不断有研究发现AQP4的表达可能受到PI3K/AKT通路的影响。PI3Ks家族可影响PI3K/AKT的信号通路活性的分子多种多样,近期有研究发现一种MicroRNAs,miR-7-5p能影响PI3K/AKT通路的活性。在肺水肿研究中推测miR-7-5p可通过影响mTORC2/SGK-1的活性来调控钠离子通道表达,最终影响肺水肿形成。
近期越来越多的试验表明丁苯酞可以减轻脑创伤后的脑水肿,并且发现丁苯酞可以激活PI3K/AKT信号通路,但是目前尚还没有研究发现丁苯酞是否能影响miR-7-5p的表达。因此,在脑出血大鼠模型中加入丁苯酞作为实验的干预组,观察miR-7-5p的表达变化,观察脑水肿的变化,同时验证是否丁苯酞能调控PI3K/AKT通路活性以及调控AQP4表达,探索miR-7-5p,AQP4,PI3K/AKT和脑水肿之间可能的关系。这项研究探讨脑出血脑水肿的发病机制,为脑出血后脑水肿提供新的治疗切入点。
02
研究方法
收集2019年6月至2020年1月中南大学湘雅二医院急诊入院的发病24小时内的脑出血初诊患者的临床资料进行分析,研究最终纳入6例患者,分别在患者发病第1天,7天,14天完善患者神经功能缺损评分,收集血常规、C-反应蛋白资料,采用头部CT评估脑血肿体积及最大层面脑水肿面积。通过酶联免疫吸附测定血清中MMP-9、ZO-1、Occludin、IL-6、TNF-α的表达。采用实时荧光定量聚合酶链反应(qRT-PCR)检测患者血清中miR-7-5p的表达。30只成年雄性SD大鼠随机分为假手术组、脑出血1天、3天、7天组和丁苯酞治疗组。大鼠脑内注射Ⅳ型胶原酶诱导脑出血。采用NSS评分评估大鼠神经功能缺损情况。采用干湿重法评估脑水肿情况。采用伊文思蓝染色评估血脑屏障通透性。通过免疫组织化学染色来评估AQP4的表达情况。通过Western blot(WB)检测PI3K、AKT、p-AKT、AQP4、IL-6、TNF-α、ZO-1和Occludin的表达。采用实时荧光定量聚合酶链反应(qRT-PCR)检测miR-7-5p的表达。
03
研究结果
临床研究部分
本研究临床部分纳入了6例自发性ICH患者包括2名女性和4名男性,平均年龄为62.7岁(范围:58-87岁),研究显示:患者脑出血第一天的血清中性粒细胞与淋巴细胞比值水平与脑出血第7天水肿面积存在正相关,脑出血患者血清中MMP-9在脑出血第14天开始降低,而紧密连接蛋白ZO-1、Occludin在脑出血第7天较第1天升高,第14天较第1天仍升高;血清中IL-6在脑出血第7天较第1天下降,第14天时较第1天仍下降;TNF-α表达在各时间点变化均不明显(见图1)。脑出血患者血清中miR-7-5p在脑出血第7天较脑出血第1天明显下降,脑出血第14天逐渐回升(见图2), 其变化趋势与CT上最大层面脑水肿面积变化趋势相反。

图1:脑出血患者血清中MMP-9(A)在脑出血第14天较脑出血第1天及脑出血第7天均下降,ZO-1(B)在脑出血第7天及第14天较脑出血第1天升高,Occludin(B)在脑出血第7天及第14天较脑出血第1天升高,IL-6(C)在脑出血第7天及脑出血第14天较脑出血第1天下降,TNF-α(C)在脑出血三个时间点变化不明显。*P<0.05,**P<0.01,***P<0.001
图2:患者脑出血后第7天miR-7-5p明显低于第1天,第14天时部分回升。*P<0.05,**P<0.01
2
基础研究部分:
丁苯酞可减轻脑出血导致的神经功能缺损和脑水肿
基础研究显示大鼠脑出血后各时间点神经功能缺损较假手术组明显加重(P<0.05),其中在脑出血第3天大鼠神经功能缺损最明显。而加入丁苯酞干预3天后大鼠神经功能缺损较脑出血对照组减轻(P<0.05)。脑出血组脑组织中的含水量较假手术组明显升高(P<0.05),在脑出血后第1天脑组织水肿较明显,第3天时水肿最明显,7天内水肿仍较明显。丁苯酞干预组脑含水量较脑出血对照组下降(P<0.05)(表1)。此外研究还显示,脑出血后血脑屏障通透性增加,丁苯酞干预后血脑屏障通透性降低。
表1 各组大鼠神经功能缺损评分及脑含水量情况

图片附注:*P<0.05,为与假手术组相比;#P<0.05,为脑出血3天组相比
丁苯酞可降低脑出血后血脑屏障通透性
脑出血后脑组织血肿周围及脑表面伊文思蓝外渗明显增加,加入丁苯酞干预以后伊文思蓝外渗减少(图3)。
图3:图A-C显示伊文思蓝在大鼠脑组织表面的外渗,图D-F显示伊文思蓝在大鼠脑组织切片血肿周围的外渗,可以看出,丁苯酞干预后伊文思蓝的外渗减少,图G 丁苯酞干预后伊文思蓝外渗减少,*p<0.05,**p<0.01.
丁苯酞干预后脑出血后脑组织中AQP4和AKT通路的活性下降
在大鼠脑出血后第1天,3天,7天脑组织血肿周围AQP4均较假手术组升高(P<0.05),在脑出血后第1天即开始升高,并且在脑出血后7天内持续性升高(图4,5),但是在加入丁苯酞干预3天后大鼠脑组织血肿周围AQP4较脑出血对照组下降(P<0.05)(图6,7)。研究还检测到p-AKT在丁苯酞干预组脑组织中较脑出血对照组下降(P<0.05)(图7),p-AKT/AKT在丁苯酞干预组脑组织中较脑出血对照组下降(P<0.05)。

图4:脑出血后第1天、第3天和第7天脑组织中AQP4较假手术组均升高(箭头所指的黄色染色部分是AQP4的所在位置,蓝色部分是细胞核)。A.假手术组;B.脑出血1天组;C.脑出血3天组;D.脑出血7天组

图片图5:脑出血后PI3K、AKT、p-AKT和AQP4的表达增加。在脑出血后1天开始增加,在脑出血后7天内继续增加(A,B)。*p<0.05,**p<0.01。
丁苯酞可降低脑出血后血脑屏障通透性
脑出血后脑组织血肿周围及脑表面伊文思蓝外渗明显增加,加入丁苯酞干预以后伊文思蓝外渗减少(图3)。
图3:图A-C显示伊文思蓝在大鼠脑组织表面的外渗,图D-F显示伊文思蓝在大鼠脑组织切片血肿周围的外渗,可以看出,丁苯酞干预后伊文思蓝的外渗减少,图G 丁苯酞干预后伊文思蓝外渗减少,*p<0.05,**p<0.01.
丁苯酞干预后脑出血后脑组织中AQP4和AKT通路的活性下降
在大鼠脑出血后第1天,3天,7天脑组织血肿周围AQP4均较假手术组升高(P<0.05),在脑出血后第1天即开始升高,并且在脑出血后7天内持续性升高(图4,5),但是在加入丁苯酞干预3天后大鼠脑组织血肿周围AQP4较脑出血对照组下降(P<0.05)(图6,7)。研究还检测到p-AKT在丁苯酞干预组脑组织中较脑出血对照组下降(P<0.05)(图7),p-AKT/AKT在丁苯酞干预组脑组织中较脑出血对照组下降(P<0.05)。

图4:脑出血后第1天、第3天和第7天脑组织中AQP4较假手术组均升高(箭头所指的黄色染色部分是AQP4的所在位置,蓝色部分是细胞核)。A.假手术组;B.脑出血1天组;C.脑出血3天组;D.脑出血7天组

图片图5:脑出血后PI3K、AKT、p-AKT和AQP4的表达增加。在脑出血后1天开始增加,在脑出血后7天内继续增加(A,B)。*p<0.05,**p<0.01。

图片图6:在丁苯酞干预后AQP4较脑出血对照组降低(箭头指示的黄色染色部分是AQP4的所在位置,蓝色部分是细胞核)。A.假手术组;B.脑出血3天对照组;C.丁苯酞干预组

图片图7:在NBP干预后,PI3K、AKT表达无明显变化(A,B)。然而,在NBP干预后,p-AKT表达降低(A,B)。在NBP干预后AQP4的表达降低(A,B)。*p<0.05,**p<0.01

丁苯酞干预后脑组织中TNF-α、IL-6降低,ZO-1、Occludin升高
脑出血后脑组织中TNF-α、IL-6升高,ZO-1、Occludin降低,丁苯酞干预后脑组织中TNF-α和IL-6较脑出血对照组降低(P<0.05)。丁苯酞干预后紧密连接蛋白ZO-1,Occludin较脑出血对照组升高(P<0.05)(图8)。

图片图8:丁苯酞干预后,IL-6和TNF-α较脑出血对照组下降(A,B),而紧密连接蛋白ZO-1和Occludin(A,B)较脑出血对照组升高。*P<0.05,**P<0.01
丁苯酞干预后脑组织中miR-7-5p升高
实验检测到在大鼠脑出血后第1天、3天、7天脑组织中miR-7-5p均较假手术组显著下降(P<0.05),其中脑出血后第3天miR-7-5p下降最明显(图9),加入丁苯酞干预后miR-7-5p较脑出血对照组明显升高(P<0.05)(图9)。
图9:脑出血后miR-7-5p(A)下降,脑出血后第3天miR-7-5p最低,丁苯酞干预后miR-7-5p(B)较脑出血对照组升高。*P<0.05,**P<0.01,***P<0.001
综上所述
丁苯酞可以抑制脑出血后脑组织中miR-7-5p的下降,增加脑组织中miR-7-5p,miR-7-5p升高后对PI3K/AKT通路的抑制增强,引起脑组织AQP4降低。丁苯酞可以通过miR-7-5p/ PI3K/AKT/AQP4途径减轻脑出血后脑水肿。再者,丁苯酞干预后脑含水量、伊文思蓝染色结果、神经功能缺损评分结果变化也说明丁苯酞可以减轻脑出血后脑水肿改善神经功能预后。这为目前丁苯酞正在开展的脑出血临床研究提供了理论依据。






